WHY BULIMIA IS SO BAD FOR YOUR TEETH

The effect of stomach acid on your teeth

THE EFFECT OF STOMACH ACID ON YOUR TEETH

Acid is measured on the ph scale, which goes from 0 being the most acidic to 14 being the most alkaline or non-acidic. Frighteningly, stomach acid is measured at 1 to 3 on that scale. It’s as acidic as battery acid.

While your tooth enamel is the strongest substance in your body it can’t stand up to your stomach acid. Repeated vomiting, such as happens if you suffer from an eating disorder like bulimia, will eventually destroy everything in its path, including your teeth.

Bulimia is a dangerous eating disorder and one that many people suffer from. It affects people both mentally and physically. Binge-eating large amounts of food which is then purged, or thrown up is extremely damaging to internal organs as well as your teeth.

Recovery is possible, but in the meantime your teeth are in serious trouble.

 

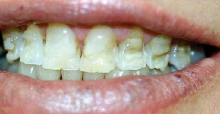
CAVITIES – THE SCOURGE OF PURGING

Bingeing on foods and drinks high in sugar will cause your teeth to decay and give you cavities. Vomiting repeatedly does the same thing. Cavities can become so large the only way to save your gums is to remove the tooth. Gums that are infected by tooth decay will bleed.

Trying to hide the fact that you have been vomiting by brushing your teeth afterwards, and brushing too hard, will make matters worse as that can also contribute to tooth decay.

 

DID YOU KNOW BULIMIA CAN CHANGE THE SHAPE AND LENGTH OF YOUR TEETH?

Stomach acid in vomit erodes your teeth so badly that apart from cavities it also makes your teeth both yellow and brittle. They can chip easily, become ragged and start to look glassy.

 

MY SALIVARY GLANDS ARE SWOLLEN, SHOULD I BE CONCERNED?

Yes, you should. Stomach acid irritates your salivary glands on the sides of your cheeks and makes them swollen.

 

I SEEM TO CONSTANTLY HAVE MOUTH SORES

Repeated vomiting can leave painful sores as it eats away at the tender skin in your mouth and throat. They could also become infected.

 

I SEEM TO HAVE A DRY MOUTH ALL THE TIME, IS THIS A PROBLEM?

Very much so. Saliva is very important. It makes your taste-buds work properly, stops you feeling continually parched and washes bacteria away from your teeth. Without it, dental decay is inevitable. Dry mouth is another result of bulimia.

 

HOW PAINFUL IS WORN TOOTH ENAMEL?

If you’ve ever experienced pain when eating or drinking something hot or cold you’ll know how painful worn tooth enamel is. Stomach acid not only wears away your tooth enamel but will also damage your gums and soft palate making chewing and swallowing an ordeal.

 

GET HELP AS SOON AS POSSIBLE

If you don’t get help for the underlying cause, in this case Bulimia, any repairs a dentist makes will be temporary.

If you or someone you know is suffering from bulimia, please contact a professional and get help today. If your teeth have been damaged as a result of that disorder, please call Team Dental and set up an appointment.

 

FAQs:

Q1: How does bulimia specifically damage teeth?

Repeated exposure to highly acidic stomach acid through vomiting erodes tooth enamel, leading to cavities, yellowing, brittleness, and changes in tooth shape. It can also irritate salivary glands, cause mouth sores, and lead to dry mouth, all of which contribute to dental problems.

Q2: Can dental damage from bulimia be permanently fixed?

While a dentist can repair damage caused by bulimia, these repairs are often temporary if the underlying eating disorder is not addressed. Seeking professional help for bulimia is crucial for long-term oral health.

button arrow